【摘要】 脑组织电镜实验易出现结构异常、结果不稳定问题,本文通过对照实验量化灌注处理与取材时间的影响,给出标准化实操方案,提升实验成功率。
在脑组织电镜实验的科研实践中,不少研究者都会遭遇这样的困境:实验流程看似毫无疏漏,电镜下的组织超微结构却呈现异常,线粒体肿胀、膜结构模糊等问题频发,甚至同一课题组不同人员的实验结果差异显著。多数人会将问题归咎于操作、固定或设备因素,却忽略了灌注处理与取材时间这两个核心变量。科学指南针依托大量样本实验与专业检测经验,通过严格的对照实验量化分析了这两大变量的影响,为脑组织电镜实验的顺利开展提供专业参考。
一、实验设计:精准对照,锁定核心变量
为明确灌注处理和取材时间对脑组织电镜样本的影响,研究团队设计了灌流组与不灌流组两大对照实验组,同时在两组中分别设置灌注后 / 直接取材后的 0 分钟、2 分钟、5 分钟三个精准时间节点进行取材,取材后立即投入固定液开展后续处理,全程控制单一变量,确保实验结果的准确性与可比性。
1.灌流组:对麻醉后的实验动物进行心脏灌注,采用戊二醛固定液快速置换脑组织内血液,模拟理想的样本预处理状态,从灌注结束开始计时开展取材操作。
2.不灌流组:省略心脏灌注步骤,直接对麻醉后的实验动物进行脑组织取材,模拟实验条件受限情况下的取材方式,直接从取材开始计时。
二、实验操作:标准化流程,保障结果可比
研究团队在实验中制定了标准化的样本处理流程,所有实验组的脑组织样本均遵循统一操作规范,从取材到固定的每一步都严格把控,避免因操作差异影响实验结果。
1.灌流组完成灌注后,待组织适当硬化再取脑组织;不灌流组直接快速取材,两组样本均放置于取材蜡片上。
2.到达预设时间节点后,立即在组织表面滴加固定液,用双面刀片横向切开左右半球,在靠近断面处切下 1mm 左右薄片,选取海马区同一部位作为实验材料,将其切成不超过 1mm³ 的小块。
3.用牙签或眼科镊挑取 3-5 块组织小块,转移至盛有不少于 1ml 室温固定液的 1.5mL 离心管中,颠倒混匀后加满固定液,室温放置半小时,再转入 4℃冰箱中保存过夜。
4.所有样本后续的电镜检测前处理流程完全一致,从根本上保障了实验结果的可对比性。

三、实验结果:时间与灌注,决定结构完整性
通过电子显微镜超高分辨率观察,本实验清晰量化了灌注处理和取材时间对脑组织细胞超微结构的影响,实验结果显示,仅 2-3 分钟的时间差,就会导致脑组织超微结构发生不可逆的变化,灌注与否则直接决定了样本结构的基础保存状态。
(一)灌流组:固定液发挥作用,短时间内结构保存良好
灌流处理通过固定液置换血液并渗透组织,能有效终止酶促反应,将细胞状态冻结在接近生理的水平,不同取材时间的样本呈现出明显的结构差异:
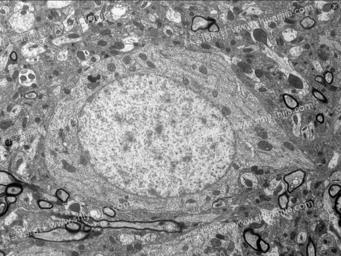
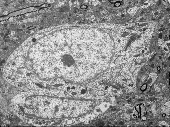
1.0 分钟取材:组织结构保存效果极佳,神经元胞膜完整,细胞核染色质分布均匀,线粒体嵴结构清晰可辨,内质网、高尔基体等细胞器形态完好,突触前后膜及囊泡结构分界明确。

2.2 分钟取材:固定效果依旧优秀,与 0 分钟组相比,超微结构未出现显著退化,线粒体膜、核膜等膜性结构保持清晰,胞质分布均匀,是兼顾实验操作可行性与样本质量的黄金时间窗口。

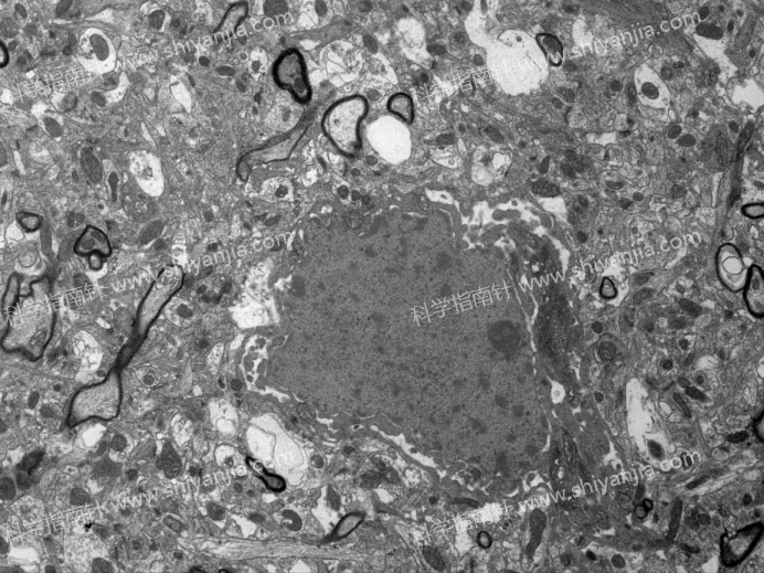
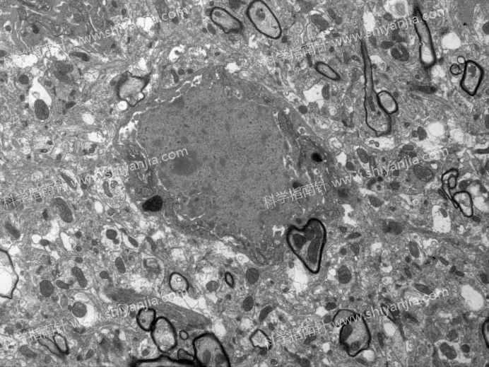
3.5 分钟取材:虽经灌流处理,但固定液在边缘区域或微循环较差部位的渗透存在不完全性,5 分钟内局部缺氧损伤开始显现,表现为内质网扩张形成空泡、线粒体肿胀,部分神经元胞质出现自噬样结构,个别线粒体膜结构模糊不连续,样本整体均一性下降,缺血缺氧损伤开始累积。

(二)不灌流组:代谢快速变化,各时间点均有退行性改变
脑组织代谢率极高,对缺氧具有高度敏感性,不灌流状态下,心脏搏动停止后脑组织能量(ATP)迅速耗竭,离子泵失灵引发细胞内钙离子超载,水解酶被激活并破坏细胞骨架和膜结构,因此不灌流组样本在各时间点均呈现出不同程度的退行性变化:
1.即使是 0 分钟快速取材,神经元细胞核也出现电子密度增大的早期自溶迹象,这是与灌流组的显著差异。

2.随取材时间延长,细胞超微结构的损伤程度持续加重,样本质量不断下降。
3.实验同时发现,髓鞘和突触对短时间缺血具有相对耐受性,受不灌注处理的影响较小。
此外,结合过往大量检测实验经验得出,无论是否进行灌流处理,若取材时间超过 5 分钟,在电镜下寻找理想的观察视野难度会大幅增加,实验的可重复性和数据的可靠性也将面临严峻挑战。
四、实操建议:科学把控,提升实验成功率
基于上述对照实验结果与长期的专业检测经验,专业检测平台为开展脑组织电镜实验的科研人员提供了针对性的实操建议,从灌注选择和时间把控两方面,精准提升样本质量与实验成功率。
(一)灌注与否:根据观测目标精准选择
1.若观测目标为神经元、胶质细胞等超微结构变化,或需要观察血脑屏障相关结构,推荐进行灌流处理,最大程度保存组织原始结构。
2.若观测目标为突触、髓鞘,因其对短时间缺血耐受性较强,可省略灌流步骤,直接开展快速取材。
(二)时间窗口:严控取材时长,把握黄金节点
1.进行灌流处理后,应力争在 2-3 分钟内完成目标脑区的取材并将样本投入固定液,这一时间段是平衡操作可行性与超微结构保存质量的关键。
2.灌流后取材总时长不应超过 5 分钟,否则脑组织形态学损伤的风险会显著增加。
3.整体取材过程需遵循快、准、小的原则,从动物麻醉到组织样本放入离心管的整体时间建议控制在 5 分钟内;固定液选用 2.5% 的戊二醛,全程保持室温状态。
五、实验总结:找对时间窗口,是脑组织电镜实验的关键
脑组织电镜实验的成功,并非取决于实验能否开展,而在于是否在关键的时间窗口内完成了正确的操作步骤。灌注处理的合理选择与取材时间的精准把控,是保障脑组织超微结构完整的核心,这两个环节的疏漏,会直接导致实验结果出现偏差,甚至让整个实验功亏一篑。
脑组织电镜实验存在实验窗口短、操作链条长、样本珍贵且失败后难以重复的特点,每一个环节的细微偏差都可能影响最终结果。科学指南针作为专业的科研检测服务平台,拥有成熟的生物电镜检测技术和丰富的脑组织样本处理经验,能够为科研工作者提供标准化的脑组织电镜样本制备、检测分析等全流程服务,助力科研人员规避实验风险,提升实验数据的可靠性与准确性。







您已经拒绝加入团体

