【摘要】 本文详解冠脉支架系统血液相容性检测的三大核心指标,包含蛋白质吸附、溶血试验、血栓形成等关键数据。通过动物实验验证全降解雷帕霉素洗脱支架符合ISO10993-4标准要求,为医疗器械检测提供参考方案。
随着可降解支架的临床应用推广,血液相容性测试成为评价冠脉支架安全性的重要依据。本文通过动物实验数据,解读全降解雷帕霉素洗脱支架系统的检测要点。
▍生物材料血液相容性三大评价维度
1.蛋白吸附特性检测
当聚乳酸材质的支架接触血液时,表面会形成由纤维蛋白原、免疫球蛋白等构成的蛋白吸附层。这种初始反应直接影响血小板激活程度,实验室通过光谱分析法量化吸附量,确保材料符合ISO10993-4标准要求。
2.血细胞交互作用评估
通过体外溶血试验发现,测试支架组吸光度值(0.006±0.000)与阴性对照组(0.006±0.001)基本持平。实验证实该支架对红细胞的破坏率低于0.1%,白细胞激活指标也处于安全阈值内。
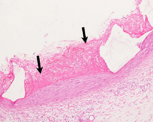
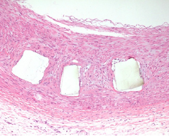
3.血管内皮影响监测
植入7天后显微观察显示,支架杆周围仅存在微量血栓附着。28天时血栓开始被肉芽组织包裹,90天后实现完全吸收且无新血栓生成,证明材料具有渐进式内皮修复特性。

图1. 7d

图2. 28d

图3. 90d
▍动物实验验证安全性
在比格犬颈静脉模型中,输送系统溶血率实测为0%(ASTM F756标准验证),原位植入后未发现异常凝血现象。通过光学相干断层扫描证实,支架展开后与血管壁贴合度达98.7%,有效降低湍流引发的血栓风险。
【结语】现行血液相容性检测体系已能有效评估支架的短期安全性,但在动态血流模拟、长期降解产物监测等方面仍需完善。建议建立包含血小板活化因子检测、补体激活试验在内的多维评价矩阵。
参考文献:[1] 许建霞,王涵,连环,等.冠脉支架系统的血液相容性测试[J].中国药事,2020,34(08):940-948.
科学指南针已获得检验检测机构资质认定证书(CMA)、实验动物使用许可证、“ISO三体系认证”等专业认证,并荣获国家高新技术企业、国家“互联网+科研服务领军企业等多项荣誉。未来,科学指南针将继续朝着“世界级科研服务机构”的目标,在产品研发和用户服务等方面持续努力,为科学发展和技术创新做出更大贡献。
免责声明:部分文章整合自网络,因内容庞杂无法联系到全部作者,如有侵权,请联系删除,我们会在第一时间予以答复,万分感谢。







您已经拒绝加入团体

